Siguiente
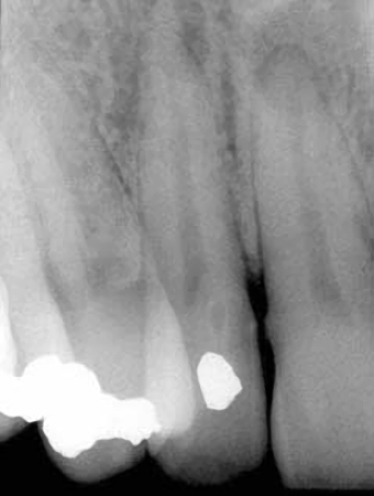
LUEGO DE ANALIZAR LA IMAGEN, SELECCIONA UNA DE LAS ALTERNATIVAS PRESENTES EN LA VENTANA DESPLEGABLE
Aceptar
Que entidad patológica esta presente en esta imagen radiográfica ?
Hipercementosis
Geminación
Mesiodent
Trasposición
Displasia dentinaria
Raices supernumerarias
Odontodisplasia regional
Diente de Hutchinson
Dilaceración
Distomolar
Amelogénesis imperfecta
Cuspide espolonada
Esclerosis pulpar
Hipoplasia del esmalte
Paramolar
Macrodoncia
Concrescencia
Taurodontismo
Odontoma dilatado
Diente de Turner
Dens invaginatus
Anodoncia
Diente en forma de pala
Erosión
Fusión
Atricción
Dentinogénesis imperfecta
Migración
Dens evaginatus
Abrasión
Perla del esmalte
Microdoncia
Oligodoncia
Pulpolitos
Aceptar
OK